Blog opgeven is geen optie - foto Mady

Hoi iedereen,

Ik ben mady, 43 jaar en sinds juli 2006 ben ik reumatoïde artritis patiënt. In juni 2006 werd ik voor de tweede keer mama. Zes weken na de bevalling is alles begonnen met een stijve nek. Naarmate de weken vorderden werd heel mijn lichaam als ‘verlamd’. Na weken/ maanden zoeken, kreeg ik de diagnose. Het was een helse ervaring tot nu toe…

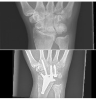
De ziekte bepaald wie ik ben, ondanks dat ik nooit wil toegeven dat ik veel minder kan. Ik heb ondertussen rechts een polsprothese en links is mijn pols half vastgezet. In augustus kreeg ik het verdict dat de botten in mijn handen en polsen weer verslechterd zijn en dat ik ooit de stap zal moeten nemen naar totaal vastgezette polsen.

Op zoek naar alternatieven

Als mama van drie jongens kan je niet bij de pakken blijven zitten. Wij runnen thuis een bedrijf en ik ondersteun mijn echtgenoot en zonen waar ik kan. Ik blijf altijd naar nieuwe alternatieven zoeken om minder pijn te hebben, zoals bvb op mijn voeding letten.

Sinds vorig jaar eet ik nu elke morgen een kommetje vers fruit met Griekse yoghurt. Ondertussen geniet ik hier elke dag van! Elke week ga ik ook naar de kine, voor de ontstoken gewrichten te ‘bewegen’ en proberen de ontstekingen onder controle te houden. Thuis heb ik een infrarooddeken dat me ontspant, en ook energie geeft.

Chronisch ziek zijn, maakt je wie je bent, maar opgeven is een woord dat wij niet kennen! 

Groetjes Mady

Wil jij een reactie achterlaten op deze gastblog? Scroll naar beneden en laat een berichtje achter voor Mady!

Wil jij ook een gast blog schrijven? Stuur een e-mail naar contact@chronisch.nu.